Mariano Matamoros #502- 2B. Colonia Centro. Pachuca, Hidalgo. C.P. 42000
En esta entrevista nuestra paciente habla de lo que significa para ella la sonrisa.
Nuestra paciente comparte con nosotros la emoción de terminar su tratamiento.

Inicio y final de tratamiento. Se generó el espacio adecuado para que todos los dientes entraran al arco. Se necesitaba mucho espacio debido a los dientes muy encimados. Se logro mejorar la estética y por tanto se logró también mejorar la salud debido a la posibilidad de realizar una mejor limpieza y menor retención de alimento.

Inicio y final de tratamiento. Fue un poco más largo de lo común ya que los dientes tardaron en erupcionar. Pero se guió la erupción de los mismos para lograr el espacio adecuado. Este tratamiento corrigió las relaciones entre los dientes e incluso se mejoró la el hablad el paciente.

Inicio y final de tratamiento en un paciente donde la mandíbula es más grande. Esto genera una discrepancia en la posición de los dientes. Se corrigieron las relaciones molares y caninas. Se logo asentar correctamente la mordida, cerrar los espacios entre los dientes y alinear las líneas medias superior e inferior con la línea media facial.

Un tratamiento relativamente sencillo. Muy común entre nuestros pacientes. Podemos ver como se mejoró la relación de los caninos (colmillos) y molares así como su sonrisa. La mejor alineación permite llevar a cabo una mejor limpieza. En la foto inicial se puede ver un margen rojo en la encía provocado por la inflamación debido a un mal cepillado. Ahora esa línea roja no esta presente debido a que la placa ya no se acumula tanto en los cuellos de los dientes.

Con los brackets de autoligado se logra un movimiento más rápido de los dientes debido a que los dientes no reciben ninguna fricción durante el mismo como ocurre con los brackets de ligado convencional.
Los brackets inferiores a penas se colocaron, mientras que los superiores llevan solamente 4 meses.

El tratamiento tomo un poco menos de 2 años. En las fotos se puede ver que se mejoró la alineación dental y las relaciones entre los mismos.

En este tratamiento se pudo mejorar mucho la sonrisa al mejorar la posición de los dientes anteriores. Se corrigieron rotaciones y en general la forma de morder fue modificada

En 6 meses se ha conseguido la alineación, así como una mejor relación entre los dientes superiores e inferiores.

Nuestro paciente presentaba una mordida abierta muy pronunciada (es decir sus dientes no contactaban) tanto en anterior y posterior (adelante y atrás). En las fotos vemos como ha mejorado con la simple colocación de los brackets y la extracción de los terceros molares (muelas del juicio)

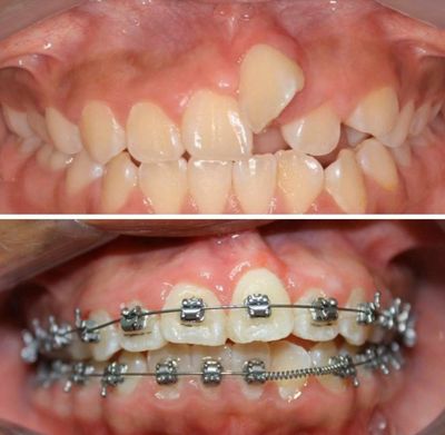
Nuestra paciente tiene 10 meses en tratamiento y hemos podido mejorar la posición de los dientes y su sonrisa considerablemente., A ella no le gustaban sus colmillos, ahora le encantan.






Bracket Clinic
Mariano Matamoros #502- 2B. Colonia Centro. Pachuca, Hidalgo. C.P. 42000
Este páginas web utiliza cookies Al seguir utilizando este páginas, aceptas nuestro uso de cookies.